Bebês de um ano estão sendo hospitalizados com cárie dentária por ingerirem muitos alimentos açucarados – alguns deles acabam tendo todos os dentes retirados.
Bebês de um ano estão sendo hospitalizados com dentes apodrecidos porque estão comendo muitos alimentos açucarados.
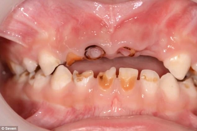
Algumas crianças ainda tiveram todos os seus dentes de leite retirados depois que apodreceram como ‘tocos negros’ e não poderiam ser salvos por dentistas que lamentaram o fato.
Mais de 2.500 crianças com menos de oito anos, incluindo 24 bebês, tiveram que passar por anestesia geral no Sul da Austrália só no ano passado – 55 por cento a mais do que há uma década atrás.
Dentistas estão desesperados com o agravamento da situação, que como eles disseram, não deveria estar acontecendo em um país de primeiro mundo, como a Austrália.
“Eu extraí dente por dente da boca de uma criança, e era uma criança de três ou quatro anos”, disse o Dr. Mark Penrose no SA Dental Service aos repórteres.
“Eu não pude salvá-los, estavam podres … ela não vai conseguir ter outros dentes por três ou quatro anos”.
O Dr. Penrose culpou os pais por alimentarem seus filhos com alimentos e bebidas não saudáveis e por não cuidarem dos dentes, pois as crianças não conseguem escovar os dentes adequadamente até pelo menos os nove anos de idade.
“A maior parte da causa recai sobre a dieta, com o que os pais estão alimentando seus filhos e dando-lhes para beber”, disse ele.
Ele disse que mesmo os alimentos tidos como saudáveis como frutas secas e iogurte, são carregados com açúcar e enviar uma criança para a cama com uma garrafa de leite destruiria seus dentes ao longo do tempo.
Mais de 250.000 crianças no sul da Austrália tem direito a exames dentários gratuitos, mas apenas um terço dos seus pais aceitam a oferta.
Fonte: DailyMail, tradução: Regiany Floriano
Sugestões de livros sobre a Dieta Paleo – Low Carb? Veja aqui
As informações contidas neste blog são relatos pessoais, ou artigos traduzidos com as devidas referências, não se destinam a diagnosticar, tratar, curar ou prevenir qualquer condição médica e não devem ser usadas como um substituto para o cuidado e orientação de um médico / nutricionista.
As informações contidas neste blog são relatos pessoais, ou artigos traduzidos com as devidas referências, não se destinam a diagnosticar, tratar, curar ou prevenir qualquer condição médica e não devem ser usadas como um substituto para o cuidado e orientação de um médico / nutricionista.


